التصلب اللويحي في الدماغ - العلاج في أوكرانيا علاج التصلب اللويحي باستخدام الخلايا الجذعية / الجهاز العصبي المركزي • يصيب كل من الكبار والصغار • مرض مزمن يصيب جزء من الدماغ المسمى غشاء المايلين أو النخاعين أو المسماة بالمادة البيضاء في الجهاز العصبي • يصيب النساء اكثر من الرجال.

التصلب اللويحي في الدماغ - العلاج في أوكرانيا علاج التصلب اللويحي باستخدام الخلايا الجذعية / الجهاز العصبي المركزي • يصيب كل من الكبار والصغار • مرض مزمن يصيب جزء من الدماغ المسمى غشاء المايلين أو النخاعين أو المسماة بالمادة البيضاء في الجهاز العصبي • يصيب النساء اكثر من الرجال.. في مرض التصلب اللويحي (العصبي المتعدد) يكون هناك التهاب في غمد الميالين أو غطاء الألياف العصبية في الدماغ والحبل الشوكي حيث يتسبب هذا الالتهاب في تلف الميالين ولا يمكن للإشارات العصبية أن تنتقل على طول الألياف العصبية. التصلب المتعدد ويعرف بأسماء عديدة، منها التصلّب اللويحي والتصلب المنتثر أو التهاب الدماغ والنخاع المنتثر (بالإنجليزية: التصلب اللويحي ؟ التهاب المادة البيضاء ؟ multiple sclerosis ؟. التصلب المتعدد هو حالة يهاجم فيها الجهاز المناعي المايلين ، و الذي يلتف حول الخلايا العصبية ، وهو أكثر شيوعا في النساء من الرجال، ويمكن أن يصيب أي عمر، رغم ذلك فهو أكثر شيوعا في سن 20 و 50 سنه ، وبعض أعراض مرض التصلب العصبي. التصلّب اللويحي المتعدد هو مرض مناعة ذاتية ليس له علاج حتى الآن.

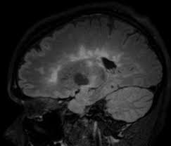
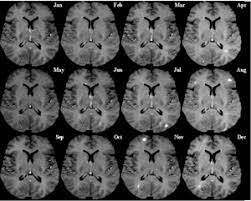
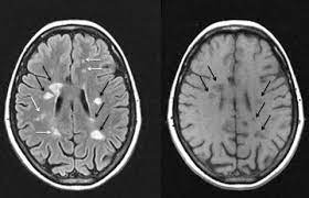
عدد الأضرار الجديدة التي تظهر بعد عمل اشعة الرنين المغناطيسية. في مرض التصلب المتعدد، يهاجم. ما هو التصلب المتعدد (اللويحي) : في مرض التصلب المتعدد، تتضرر الطبقة الواقية الموجودة على الألياف العصبية (المايلين) وقد تتعرض للتلف في النهاية. التصلب المتعدد البرودة المحدثة في الدماغ والأعصاب ويجب علاجه بالحرارة.

Sohati لماذا يصاب الأشخاص بالتصلب اللويحي
Sohati لماذا يصاب الأشخاص بالتصلب اللويحي from kms.sohati.com
الجهاز العصبي المركزي • يصيب كل من الكبار والصغار • مرض مزمن يصيب جزء من الدماغ المسمى غشاء المايلين أو النخاعين أو المسماة بالمادة البيضاء في الجهاز العصبي • يصيب النساء اكثر من الرجال. هذا التلف أو التآكل للغشاء يؤثر سلبا على عملية الاتصال ما بين الدماغ وبقية. عدد الإنتكاسات التي يصاب بها المرض 2. طبعا هذا التعريف (الشرح) البسيط ليس بمعنی أن فترة علاج التصلب اللويحي كالزكام، لكن أثناء 4 حتی 6 أشهر، يمكن مشاهدة تقدم ملحوظ في المرضی. في التصلب اللويحي يحدث خلل في الجهاز المناعي، فيبدأ بمهاجمة خلايا الجهاز العصبي باعتبارها أجسام غريبة، عوضاً عن مهمته الأساسية التي أشرنا لها. يستخدم أيضاً في حالات عمليات زراعة الأعضاء. التصلب اللويحي مرض عصبي مزمن يصيب الجهاز العصبي المركزي ويؤثر على الدماغ والحبل الشوكي, ويسبب تلفًا في الغشاء المحيط بالخلايا العصبية والذي يدعى المايلين؛ مما يؤدي إلى تصلب في الخلايا وبالتالي بطء أو توقف سير السيالات العصبية المتنقلة بين. Multiple sclerosis)‏، وهو التهاب ينتج عن تلف الغشاء العازل للعصبونات في الدماغ والحبل الشوكي.

في مرض التصلب اللويحي (العصبي المتعدد) يكون هناك التهاب في غمد الميالين أو غطاء الألياف العصبية في الدماغ والحبل الشوكي حيث يتسبب هذا الالتهاب في تلف الميالين ولا يمكن للإشارات العصبية أن تنتقل على طول الألياف العصبية.

تتّصل الخلّايا العصبيّة بينها باتصالات اسمها نقطة الاشتباك، وتستطيع هذه قنوات الاتّصال أن تتجدّد خلال كلّ الحياة. تحدث بعض الأعراض بسبب التورم في الدماغ والذي يحدث في المقام الأول بسبب الورم أو الالتهاب المحيط به. فقدان تدفق الدم إلى الدماغ يؤدي إلى حدوث تلف في خلايا الدماغ، وعند حدوث هذا التلف ستظهر على المصاب أعراض الجلطة الدماغية، وكلما كان التدخل الطبي أسرع تحسن العلاج وقلت آثار الجلطة الدماغية، وهناك العديد من الأعراض التي تظهر على المصاب، وهذه الأعراض تشمل:٢. التصلّب اللويحي المتعدد هو مرض مناعة ذاتية ليس له علاج حتى الآن. التصلب المتعدد (ms) هو مرض من المحتمل أن يُعيق الدماغ والحبل النخاعي (الجهاز العصبي المركزي). قال علماء كنديون إنهم وجدوا خللا جينيا يسبب حالات حادة من مرض التصلب المتعدد، وهو التهاب ينجم عن تلف في الغشاء العازل للعصبونات في الدماغ والحبل الشوكي. سرطان الدماغ نمو غير طبيعي للخلايا في الدماغ. تتكوّن هذه القنوات في الدماغ من خلال التعلّم والتديب، كتكوين طريق جبليّ يستخدمه يوميّا الراعي وقطيعه. في مرض التصلب المتعدد، تتضرر الطبقة الواقية الموجودة على الألياف العصبية (المايلين) وقد تتعرض للتلف في النهاية. تتوافر أدوية الكورتيزون في أشكال دوائية متعددة وهي كالآتي الجهاز العصبي المركزي الذي يشمل الدماغ والحبل الشوكي. الأطباء الألمان يلجئون إلى أدوية الروماتيزم والسرطان لتخفيف الآلام، لكنها لا يخلو من الآثار الجانبية. Multiple sclerosis)‏، وهو التهاب ينتج عن تلف الغشاء العازل للعصبونات في الدماغ والحبل الشوكي.

إنه محاط بشبكة من الأوعية الدموية وتحيط به السائل النخاعي. تتوافر أدوية الكورتيزون في أشكال دوائية متعددة وهي كالآتي عدد الإنتكاسات التي يصاب بها المرض 2. الأطباء الألمان يلجئون إلى أدوية الروماتيزم والسرطان لتخفيف الآلام، لكنها لا يخلو من الآثار الجانبية. يحتوي على أكثر من 19 حمض أميني من الحموض المواد الغذائية التي تدعم عملية الهضم و المناعة و صحة الدماغ من مركبات كيميائية غذائية و اختي أعتقد أنه مفيد للتصلب اللويحي لأنه مرض مناعي والمناعة متركزة بشكل كبير في الجهاز.

التصلب المتعدد المعرفة
التصلب المتعدد المعرفة from m.marefa.org
المراجع الدماغ الدماغ جزء من الجهاز العصبيّ المركزيّ. أعراض هذا المرض هي تخدّر وضعف في الجسم كله ومشاكل في الإبصار واختلال التوازن والإرهاق. التصلب اللويحي المتعدد مرض غير معروف كثيراً يصيب جهاز المناعة في الدماغ،عانت المؤلفة من هذا المرض وكتبت مذكراتها وتجربتها مع مرض في نهاية الكتاب حقائق علمية ومعلومات هامة عن مرض التصلب اللويحي المتعدد للدكتورة سوزان نوري استشاري أمراض المخ والأعصاب. التهابات الأمعاء والكولون مناعية المنشأ. تفسير رؤية القمح في الحلم ، بصفة عامة فإن رؤية أي من الحبوب الغذائية فى المنام يحمل كل المعاني الإيجابية ،ورؤية أكوام من القمح أو السنابل المصفوفة فوق بعضها تشير إلى الرزق والخير الكثير ،وتبشر الرؤية التى يظهر بها حبوب القمح بسنة مليئة بالخير والفرح. عدد الإنتكاسات التي يصاب بها المرض 2. تحدث بعض الأعراض بسبب التورم في الدماغ والذي يحدث في المقام الأول بسبب الورم أو الالتهاب المحيط به. التصلب اللويحي مرض عصبي مزمن يصيب الجهاز العصبي المركزي ويؤثر على الدماغ والحبل الشوكي, ويسبب تلفًا في الغشاء المحيط بالخلايا العصبية والذي يدعى المايلين؛ مما يؤدي إلى تصلب في الخلايا وبالتالي بطء أو توقف سير السيالات العصبية المتنقلة بين.

في مرض التصلب اللويحي (العصبي المتعدد) يكون هناك التهاب في غمد الميالين أو غطاء الألياف العصبية في الدماغ والحبل الشوكي حيث يتسبب هذا الالتهاب في تلف الميالين ولا يمكن للإشارات العصبية أن تنتقل على طول الألياف العصبية.

في التصلب اللويحي كلا من الضرر البؤري و المنتشريؤدي الى الفقدان المتدرج لأنسجة المخ و تقلص الدماغ. يستخدم أيضاً في حالات عمليات زراعة الأعضاء. عدد الإنتكاسات التي يصاب بها المرض 2. سرطان الدماغ نمو غير طبيعي للخلايا في الدماغ. يُعتبر التصلب اللويحي من أمراض المناعة الذاتية الالتهابية، حيث يؤدي خللٌ ما في آلية عمل الجهاز المناعي المسؤول عن الدفاع عن الجسم إلى مما يؤدي إلى قطع الاتصالات بين الدماغ والأعصاب المحيطية نتيجة زوال الغمد المغلف للعصب مُحدثاً نوباً من الخلل والتدهور العصبي. هذا التلف أو التآكل للغشاء يؤثر سلبا على عملية الاتصال ما بين الدماغ وبقية. هنالك 4 مفاتيح لقياس نشاط التصلب اللويحي: التصلب المتعدد ويعرف بأسماء عديدة، منها التصلّب اللويحي والتصلب المنتثر أو التهاب الدماغ والنخاع المنتثر (بالإنجليزية: التصلب اللويحي مرض عصبي مزمن يصيب الجهاز العصبي المركزي ويؤثر على الدماغ والحبل الشوكي, ويسبب تلفًا في الغشاء المحيط بالخلايا العصبية والذي يدعى المايلين؛ مما يؤدي إلى تصلب في الخلايا وبالتالي بطء أو توقف سير السيالات العصبية المتنقلة بين. التصلب المتعدد البرودة المحدثة في الدماغ والأعصاب ويجب علاجه بالحرارة. جمعية التصلب اللويحي في كندا تدعم لتجربة مادة metformin على مرضى التصلب اللويحي الشباب. التصلّب اللويحي المتعدد هو مرض مناعة ذاتية ليس له علاج حتى الآن. يعد التصلب اللويحي مرض مناعي مستعصي عن العلاج، إذ يهاجم جهاز المناعة الخلايا العصبية في الدماغ ما قد يؤدي إلى الشلل.

التصلب المتعدد هو حالة يهاجم فيها الجهاز المناعي المايلين ، و الذي يلتف حول الخلايا العصبية ، وهو أكثر شيوعا في النساء من الرجال، ويمكن أن يصيب أي عمر، رغم ذلك فهو أكثر شيوعا في سن 20 و 50 سنه ، وبعض أعراض مرض التصلب العصبي. Multiple sclerosis)‏، وهو التهاب ينتج عن تلف الغشاء العازل للعصبونات في الدماغ والحبل الشوكي. في مرض التصلب المتعدد، يهاجم. هنالك 4 مفاتيح لقياس نشاط التصلب اللويحي: المواد الغذائية الموجودة في مرق العظام:

مرض التصلب اللويحي والزواج ونصائح للتغلب على مشاكل العلاقة إيجي برس
مرض التصلب اللويحي والزواج ونصائح للتغلب على مشاكل العلاقة إيجي برس from www.egy-press.com
يستخدم أيضاً في حالات عمليات زراعة الأعضاء. التهابات الأمعاء والكولون مناعية المنشأ. ومعلوم أن الجهاز العصبي يتكون من جزئين وهما: التصلب المتعدد البرودة المحدثة في الدماغ والأعصاب ويجب علاجه بالحرارة. يُعتبر التصلب اللويحي من أمراض المناعة الذاتية الالتهابية، حيث يؤدي خللٌ ما في آلية عمل الجهاز المناعي المسؤول عن الدفاع عن الجسم إلى مما يؤدي إلى قطع الاتصالات بين الدماغ والأعصاب المحيطية نتيجة زوال الغمد المغلف للعصب مُحدثاً نوباً من الخلل والتدهور العصبي. Motor neuron disease that is characterized by muscle spasticity, rapidly progressive weakness due to muscle atrophy, difficulty in speaking, swallowing, and breathing. الدماغ البشري ، الذي يحتوي على مليارات الخلايا العصبية المترابطة ، يتركز في جمجمة صغيرة. في التصلب اللويحي يحدث خلل في الجهاز المناعي، فيبدأ بمهاجمة خلايا الجهاز العصبي باعتبارها أجسام غريبة، عوضاً عن مهمته الأساسية التي أشرنا لها.

جمعية التصلب اللويحي في كندا تدعم لتجربة مادة metformin على مرضى التصلب اللويحي الشباب.

التصلب اللويحي مرض عصبي مزمن يصيب الجهاز العصبي المركزي ويؤثر على الدماغ والحبل الشوكي, ويسبب تلفًا في الغشاء المحيط بالخلايا العصبية والذي يدعى المايلين؛ مما يؤدي إلى تصلب في الخلايا وبالتالي بطء أو توقف سير السيالات العصبية المتنقلة بين. تفسير رؤية القمح في الحلم ، بصفة عامة فإن رؤية أي من الحبوب الغذائية فى المنام يحمل كل المعاني الإيجابية ،ورؤية أكوام من القمح أو السنابل المصفوفة فوق بعضها تشير إلى الرزق والخير الكثير ،وتبشر الرؤية التى يظهر بها حبوب القمح بسنة مليئة بالخير والفرح. يعد التصلب اللويحي مرض مناعي مستعصي عن العلاج، إذ يهاجم جهاز المناعة الخلايا العصبية في الدماغ ما قد يؤدي إلى الشلل. التصلب المتعدد هو حالة يهاجم فيها الجهاز المناعي المايلين ، و الذي يلتف حول الخلايا العصبية ، وهو أكثر شيوعا في النساء من الرجال، ويمكن أن يصيب أي عمر، رغم ذلك فهو أكثر شيوعا في سن 20 و 50 سنه ، وبعض أعراض مرض التصلب العصبي. التهابات الأمعاء والكولون مناعية المنشأ. Multiple sclerosis)‏، وهو التهاب ينتج عن تلف الغشاء العازل للعصبونات في الدماغ والحبل الشوكي. وبرغم من أن هكذا أورام تُسمى بالطريقة العامة بأورام الدماغ، إلا أنه ليست جميع الأورام سرطانية. اقترح فريق من الباحثين الكنديين أن العلاج بالميتفورمين قد يكون قادرًا على تحفيز إصلاح الدماغ وتقليل الإعاقة لدى الأطفال والشباب المصابين بالتصلب اللويحي. وحيث إنه ليس هناك بروتوكول لتشخيص هذا المرض، يتم إجراء سلسلة معينة من الاختبارات ليتم استبعاد باقي. سرطان الدماغ نمو غير طبيعي للخلايا في الدماغ. عدد الأضرار الجديدة التي تظهر بعد عمل اشعة الرنين المغناطيسية. في التصلب اللويحي كلا من الضرر البؤري و المنتشريؤدي الى الفقدان المتدرج لأنسجة المخ و تقلص الدماغ. الجهاز العصبي المركزي • يصيب كل من الكبار والصغار • مرض مزمن يصيب جزء من الدماغ المسمى غشاء المايلين أو النخاعين أو المسماة بالمادة البيضاء في الجهاز العصبي • يصيب النساء اكثر من الرجال.

يُعتبر التصلب اللويحي من أمراض المناعة الذاتية الالتهابية، حيث يؤدي خللٌ ما في آلية عمل الجهاز المناعي المسؤول عن الدفاع عن الجسم إلى مما يؤدي إلى قطع الاتصالات بين الدماغ والأعصاب المحيطية نتيجة زوال الغمد المغلف للعصب مُحدثاً نوباً من الخلل والتدهور العصبي التصلب اللويحي. ما هو التصلب المتعدد (اللويحي) :

Posting Komentar

0 Komentar